胆嚢に病気があると言われた方へ
胆嚢とは?
胆嚢は肝臓の下面についている袋状の構造物になります。胆嚢の主な役割は胆汁の貯留と濃縮になります。食べ物を摂取すると胆嚢が収縮しタイミングよく胆汁を消化管内に放出することで効率のよい消化が可能となります。

胆嚢に癌があるといわれた方へ
胆嚢癌について
胆道癌参照胆嚢に腫瘍のようなものがあるといわれた方へ
胆嚢腫瘍は常に胆嚢癌を考慮しなければなりませんが、それ以外にも以下に挙げるような疾患が鑑別にあがります。胆嚢ポリープ
胆嚢ポリープとは?
胆嚢ポリープは、胆嚢の内側にできる隆起性変化の総称です。
健康診断や人間ドックの際に腹部超音波検査で偶然にみつかることが多いです。 形態からは、キノコのように茎を持つ有茎性ポリープと茎がはっきりしない亜有茎性ポリープ、茎を持たず扁平に盛り上がる広基性ポリープなどがあり、亜有茎性ポリープ・広基性ポリープの中にがんが含まれていることがあリます。
健康診断や人間ドックの際に腹部超音波検査で偶然にみつかることが多いです。 形態からは、キノコのように茎を持つ有茎性ポリープと茎がはっきりしない亜有茎性ポリープ、茎を持たず扁平に盛り上がる広基性ポリープなどがあり、亜有茎性ポリープ・広基性ポリープの中にがんが含まれていることがあリます。

胆嚢ポリープの診断と治療
腹部エコー検査やCT、MRI検査などを用いてその診断を行います。- 胆石症や胆嚢炎を合併し、痛みや発熱などの症状がある場合には、腹腔鏡下胆嚢摘出術の適応になります。
- 胆嚢ポリープは基本的には良性ですが、一部に異型細胞を伴い癌化する可能性もあります。大きさが10 mm以内の場合は特に治療の必要はありません。
しかしながら、後になって大きくなることもあり、最大径10 mm以上のものは癌を疑って胆嚢摘出術を行い、術中検索あるいは術後病理診断で癌かどうかを診断しております。
胆嚢腺筋腫症
胆嚢腺筋症とは?
胆嚢腺筋腫症とは、何らかの要因によって胆嚢に憩室(袋状のもの)が増殖し、胆嚢の壁が厚くなる病気です。
このとき増殖する袋状のものを、RAS(ロキタンスキー・アショフ洞)と呼びます。RASは、胆のうの粘膜と筋層(粘膜の下層にある筋肉層)の過形成により起こりますが、なぜRASが発生するかはわかっておりません。
RASによって慢性胆嚢炎や胆石症を引き起こすこともあります。
このとき増殖する袋状のものを、RAS(ロキタンスキー・アショフ洞)と呼びます。RASは、胆のうの粘膜と筋層(粘膜の下層にある筋肉層)の過形成により起こりますが、なぜRASが発生するかはわかっておりません。
RASによって慢性胆嚢炎や胆石症を引き起こすこともあります。

胆嚢腺筋症の診断と治療
腹部エコー検査やMRI、CT検査等でRASなどの特徴的な所見がある場合は確定診断となります。- 胆石症や胆嚢炎を合併し、痛みや発熱などの症状がある場合には、腹腔鏡下胆嚢摘出術の適応になります。
- 術前検査で胆嚢腺筋腫症と確定診断が得られず、癌と区別できない場合には手術を行います。
以前は、胆嚢腺筋腫症は癌にはならないといわれていましたが、近年は、胆嚢癌と同時に発生することも指摘されております。胆嚢腺筋腫症は、悪性腫瘍との識別が難しいことが稀にあります。
黄色肉芽腫性胆嚢炎
黄色肉芽腫性胆嚢炎 とは?
60-70歳代の女性に多く、慢性胆嚢炎の稀な亜型です。急性胆嚢炎の症状で発症し、症状が数年間にわたりくすぶり続けることもあります。原因は、胆嚢内圧が上昇し、 RAS(ロキタンスキー・アショフ洞)が胆嚢壁内で破裂して、胆汁が壁内に露出して炎症が起こることにより生じます。
黄色肉芽腫性胆嚢炎の診断と治療
腹部エコーやCT、MRI検査を行いますが、画像所見はびまん性や局在性の壁肥厚など、様々な形態をとり、癌との鑑別が非常に難しいです。
隣接する肝臓や十二指腸にも炎症が波及することもあり、胆嚢癌で上昇することが多い腫瘍マーカー(CA19-9など)が上昇することもあります。
癌との鑑別が困難な場合は、胆嚢摘出術を行い、術中検索あるいは術後病理診断で癌かどうかを診断します。
隣接する肝臓や十二指腸にも炎症が波及することもあり、胆嚢癌で上昇することが多い腫瘍マーカー(CA19-9など)が上昇することもあります。
癌との鑑別が困難な場合は、胆嚢摘出術を行い、術中検索あるいは術後病理診断で癌かどうかを診断します。

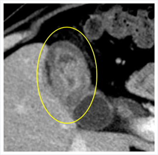
胆嚢壁の肥厚を認め、胆嚢癌との
鑑別が困難な場合があります
鑑別が困難な場合があります
胆嚢に石があるといわれた方へ
胆嚢結石症
胆嚢結石症とはどのような疾患か
胆嚢結石とは胆嚢のなかに石ができる病気です。日本人の胆石保有率は7~8%といわれています。石の種類はコレステロール結石やビリルビンカルシウム結石、黒色石などの色素胆石があります。結石の成因として胆嚢収縮能の低下、細菌感染、溶血性疾患の合併などが挙げられます。
中年女性、肥満、白人に多い傾向があり部超音波検査、腹部X線検査、CT検査、MRI検査などの画像検査により診断されます。
症状はどのようなものがあるか
胆石症の症状は心窩部・右季肋部痛や脂肪に富んだ食事後の腹痛です。胆石疝痛発作は激烈な上腹部痛が発作的に生じ、しばしば右肩や背中に放散することもあります。そのほか発熱、黄疸、悪心・嘔吐などの症状を認めることもありますが無症状であることも少なくありません。また胆石症を放置した場合、胆嚢炎を発症することもあります。
胆嚢結石による胆嚢癌の発生については、どの程度の関連があるのか完全に解明されたわけではありませんが、胆石症の無い方に比べて胆石症患者さんは、胆嚢癌発生率が高いと報告されています。
治療法はどのようなものがあるか
- 手術療法
一般的に胆嚢結石症の手術は痛みなどの症状を有する方に対して行われます。
胆石だけを摘出すると胆石が高率に再発するため、手術は胆嚢を切除する胆嚢摘出術が行われます。現在、多くの胆石症では腹腔鏡下胆嚢摘出術というお腹に1cmほどの穴を3~4カ所あけ、カメラと鉗子を用いた方法で行われております。
一方、胆嚢炎を合併したり、胆石発作を繰り返して慢性の炎症が強い場合は腹部を大きく切開して胆嚢を摘出する開腹摘出術が行われる事もあります。
胆嚢は切除しても、ほとんどの方は食事制限の必要もなく、日常生活も術前と変わりなく過ごすことが出来ます。頻度は少ないですが摘出した胆嚢に癌が見つかり追加手術を必要する場合があります。 - 経口胆石溶解療法(ウルソデオキシコール酸)
ウルソデオキシコール酸による治療は有症状患者でも胆石発作による痛みや急性胆嚢炎発生のリスクを低下させたとの報告もあり、手術をしない有症状の患者さんでコレステロール系胆石に使用されることもあります。 - 体外衝撃波結石破砕術(ESWL)
胆嚢結石を外科手術をせずに体の外より衝撃波をあて、体に傷をつけることなく結石を粉々に砕き、体の外に流しだす治療法です。
胆嚢機能が正常で石灰化のないコレステロール結石が適応となります。しばしばウルソデオキシコール酸と併用で使用されることもあります。10年間の再発率は54~60%と推定されています。
現在では②、③のような保存的加療が行われることはほとんどなく、多くの場合では手術加療が推奨されております。
胆嚢に炎症があるといわれた方へ
胆嚢炎
胆嚢炎とは
- 急性胆嚢炎:
胆嚢に生じた急性の炎症性疾患です。
原因の約90%は胆嚢結石であり、胆嚢頚部あるいは胆嚢管に結石がはまり込んで胆嚢管閉塞と胆嚢内胆汁うっ滞を起こし、引き続き胆嚢粘膜の障害が起こります。
急性胆嚢炎の約10%は結石を伴わない無石胆嚢炎であり、手術後やケガ、熱傷、感染症や長期間の集中治療室管理、経静脈栄養中の方に発症しやすいとされています。 - 慢性胆嚢炎:
胆嚢炎の緩やかな発作の繰り返しで起こり、長期間の持続的炎症にともなって胆嚢粘膜の萎縮や胆嚢壁の線維化が起こります。
一般に胆嚢結石を有します。また、急性増悪により急性胆嚢炎症状を呈することもあります。

症状はどのようなものがあるか
急性胆嚢炎で最も多い症状は右季肋部痛です。悪寒、発熱、悪心、嘔吐も頻度の高い症状です。「胆嚢のある右季肋部を押すと痛みのため呼吸を完全に行えない状態」は急性胆嚢炎に特徴的で、これをマーフィー徴候と言います。胆嚢壁が壊死して胆嚢に穴があくと胆汁が腹腔内に漏れ、腹膜炎症状を起こします。慢性胆嚢炎では、右季肋部の不快感や微熱などの症状を訴えることもありますが、無症状に経過する場合もあります。
急性胆嚢炎に対して胆嚢摘出術を行わなかった場合の再発率は約20~40%とされています。
治療法はどのようなものがあるか
治療の原則は胆嚢摘出術です。胆嚢摘出術には、腹腔鏡下胆嚢摘出術と開腹胆嚢摘出術があり、多くの場合はキズの小さな腹腔鏡下胆嚢摘出術を行います。胆嚢の炎症や線維化のため腹腔鏡手術が困難な場合には開腹手術となることがあります。
急性胆嚢炎に対して手術適応やタイミングを決定する前にまずは絶食、輸液、抗菌薬や鎮痛薬の投与などの初期治療を行います。
重症度、手術リスク、予想される手術難易度を考慮して、早期手術を行うこともあれば、待機手術を行う方針とすることもあります。
手術リスクが高い場合は、重症度に応じて胆嚢ドレナージを行うこともあります。
当施設の特徴として、様々な併存疾患を持った症例の治療経験が豊富であることが挙げられます。
また、腹腔鏡手術や肝胆膵外科手術のエキスパートがチームで診療を行っています。
重症度、手術リスク、予想される手術難易度を考慮して、早期手術を行うこともあれば、待機手術を行う方針とすることもあります。
手術リスクが高い場合は、重症度に応じて胆嚢ドレナージを行うこともあります。
当施設の特徴として、様々な併存疾患を持った症例の治療経験が豊富であることが挙げられます。
また、腹腔鏡手術や肝胆膵外科手術のエキスパートがチームで診療を行っています。

腹腔鏡下手術の傷部