移植肝臓外科
総合外科 「移植肝臓グループ」では移植医療、肝臓の腫瘍、後腹膜の腫瘍、副腎の腫瘍に対する治療を行っています。
また、1991年に全国3番目の施設として肝移植を行って以来、これまでに260例以上の肝移植を施行しています。
2006年からは1型糖尿病・糖尿病性腎不全の方に膵・腎同時移植を行うようになり、これまでに膵・腎同時移植を施行しています。
現在、国内で行われている移植の多くが生体移植ですが、2010年に改正臓器移植法が施行後、本邦における臓器提供数は増加の一途をたどっており、2022年には97件、2023年には131件の臓器提供が行われました。その変化に対応し、当科でも移植を必要とする方の脳死登録を積極的に進めており、以前は数年に1件程度の実施数でしたが、2022年は4件、2023年は10件の脳死移植を施行しています。
東北大学病院は、移植可能なすべての臓器(心臓、肺、肝臓、膵臓、小腸、腎臓)の脳死移植が可能な施設であり、当班は肝・膵・腎の腹部3臓器の移植診療を担うとともに小腸移植における脳死臓器摘出に参加しています。
2023年からは肝小腸同時移植および肝腎同時移植を実施できる体制を整え、2024年12月に本邦初となる肝・小腸一括グラフトの肝・小腸同時移植を施行しております。
非代償性肝硬変や肝不全とは、肝臓の重要な機能が損なわれ、内科的な治療を行っても回復の見込みがない状態です。このような状態になると、肝移植の適応になります。
下記に肝臓移植の適応となる主な疾患を挙げます。
肝移植には健康な近親者から肝臓の一部(1/5~2/3)を提供していただいて移植する生体移植と、脳死と判定されたドナー(臓器提供の意思をお持ちの方)から提供された肝臓を移植する脳死移植があります。
国内で行われている肝移植は生体肝移植が主流となっていましたが、改正臓器移植法の施行後は脳死移植の数が増えてきています。
当班ではこれまでに260例以上の肝移植を行い、脳死肝移植も36例行っています。下のグラフは当グループの肝移植の実施数とその内訳です。脳死肝移植の実施数は2021年以前は数年に1件程度でしたが、2022年は4件、2023年は10件と近年急速に実施数が増加しています。
特に2023年は全国で5番目の脳死肝移植実施数となりました。
脳死ドナーの増加に伴い、当グループでも脳死肝移植の登録数が増加しています。
また2024年1月より登録基準が緩和されています。肝臓の機能はChild分類という分け方で評価する場合が多いです。これまでは末期肝不全であるChild Cにならないと登録できませんでしたが、その一歩手前であるChild Bでも登録できるようになりました。
これまで基準を満たさないために登録できなかった方でも登録可能となっている場合があります。
次のグラフは脳死肝移植の登録数と年代別の生存率を示しています。実施数の増加と周術期治療の技術の進歩により、生存率はどんどん改善しています。
肝移植の適応を含めて診察を希望される場合は東北大学臓器移植医療部までご連絡ください。
腎移植には健康な近親者か片方の腎臓を提供していただいて移植する生体腎移植と、脳死ドナーもしくは心停止ドナーから提供された腎臓を移植する献腎移植があります。
当科では1965年より腎臓移植を開始し、献腎移植や再移植、膵腎同時移植を中心に腎移植を行ってきました。
2018年から生体腎移植プログラムを再開し、当院での腎移植をご希望される方のご要望にお応えするための体制を整えており、生体腎移植、献腎移植(心停止、脳死)合わせて175例の腎移植を施行しております。
また、2022年より学童期以降の小児患者に対する腎移植も開始しております。脳死ドナーの増加に伴い成人の脳死登録も積極的に進めていますが、20歳未満の腎不全患者においては小児優先ルールにより比較的早期に献腎移植を実施できることも多いため、生体腎移植だけでなく特に積極的に脳死登録を進めています。
現在2名の登録を完了し、うち1名に対し待期期間1年2か月(成人の平均待期期間は約15年)で脳死腎移植を実施し良好な腎機能を維持しております。ドナー腎摘出手術は、健常者であるドナーの方への安全性と低侵襲性を重視し、腹腔鏡を用いた方法で行っております。
腎移植の適応を含めて診察を希望される場合は東北大学臓器移植医療部までご連絡ください。
膵臓を移植することによりインスリン分泌を再開させて糖代謝をさせることで高血糖、低血糖がなくなり、血糖コントロールが安定するだけでなく、各種糖尿病性合併症を改善もしくはその進行を阻止することが期待できます。
移植を行うことによってクオリティ・オブ・ライフ(生活の質)が改善されます。糖尿病性腎症による慢性腎不全を合併している方がほとんどであり、このような場合、膵臓と腎臓の同時移植(膵腎同時移植)を行うことで移植後の生命予後が改善されます。
当院は、脳死膵移植施設であり、糖尿病性腎不全の方に対する膵・腎同時移植を行っております。これまで19例の膵・腎同時移植を施行しており、全国で6番目の手術件数です。
脳死登録を行った場合の平均待機期間は2~3年ですが、肝移植、腎移植と同様に脳死ドナーの増加に伴い、待期期間の短縮が見込まれます。
また、細胞移植治療である膵島移植が2020年に保険適応になっており、当グループでも実施体制を整えています。
膵移植、膵腎同時移植、膵島移植の適応を含めて診察を希望される場合は東北大学臓器移植医療部までご連絡ください。
各種移植後は基本的に生涯にわたる免疫抑制薬の服用が必要となり、拒絶反応や感染症、糖尿病や高脂血症など様々な合併症が起こり得ます。
このため、長期にわたるフォローアップが必要となりますが、当施設では各専門診療科や専属の移植コーディネーターと緊密な連携をとることで、夜間・休日を含めたきめ細やかな対応ができる体制をとっております。
詳しくはこちらのページ(臓器移植医療部ホームページ )をご覧ください。
肝臓の悪性腫瘍に対する肝切除は年間40-50例、過去10年間で約300例以上の肝切除を行ってきました。
手術方法としては①開腹肝切除と②腹腔鏡下肝切除、③ロボット支援下肝切除があります。
当チームでは、肝移植の知識、技術を生かし、他施設で手術困難な脈管浸潤のある進行癌症例の手術も数多く行っています。
これまでに200例以上に施行していますが、創部痛の軽減のみならず、出血量の軽減、早期の回復がみられ、術後平均在院日数は6日と良好な結果が得られております。比較的シンプルな肝切除から、徐々に複雑な肝切除に適応をひろげており、現在では肝腫瘍の肝切除の70%以上を腹腔鏡で行っております。
またICG蛍光法を用いたナビゲーション手術を導入しており、腫瘍の同定、過不足のない切除範囲の決定に有用です。
当グループでは同年よりダビンチ ・システム(Intuitive Surgical社製 Da Vinci Surgical System)を使用したロボット支援下肝切除を開始しています。現在20例程度のロボット支援下肝切除を施行しており、安全性に十分に留意をした上でより複雑な肝切除へと適応を拡大しています。当グループにおける肝切除の第一選択になりつつあります。
いずれの手術方法ができるかは腫瘍の大きさや位置などの条件によって異なりますので、当グループの外来までご相談ください。
肝細胞癌は原発性肝癌の9割以上を占める癌であり、C型肝炎やB型肝炎などのウイルス性肝炎を背景として発癌する人が多数です。最近では、ウイルス性肝炎の治療が劇的に進歩したため、肝炎ウイルスとは関係のないアルコール性肝炎や非アルコール性脂肪性肝炎(NASH)を原因とする肝細胞癌が徐々に増えてきています。
癌の状態や患者様の体調、肝機能により選択できる治療が異なり、適宜肝臓内科とカンファレンスで治療法を検討し、単独あるいは組み合わせて治療を行います。
*肝細胞癌における肝移植: 肝細胞癌でも、個数や大きさ、遠隔転移の有無により肝移植の適応となることがあります。詳しくは肝移植をご覧ください。
肝内胆管癌に対してはステージに応じて術式の検討を行っております。また根治性の向上のため術前および術後化学療法を導入しております。
治療方針は消化器内科との合同カンファレンスで決定しております。肉腫など稀少癌に対しては腫瘍内科とのカンファレンスで方針を決定した上で、肝切除を行っております。
転移性肝癌の多くを占める大腸癌の肝転移の場合、化学療法や分子標的薬の進歩により、肝転移巣が切除可能となれば肝切除を行うことが推奨されております。
当初切除不能と診断されていても化学療法が奏功することで切除のチャンスが出てくる場合があります。また切除可能であっても再発の可能性を抑えるために、化学療法を組み合わせることがあります。
治療方針は大腸外科、腫瘍内科と合同でカンファレンスを月2回行い、最適な治療方針を個別に決定しております。
代表的なものとして、肝血管腫、肝腺腫がありますが、その他にも稀な疾患として、血管脂肪腫やリンパ管腫などの切除も行っています。
この後腹膜腔に発生した腫瘍を後腹膜腫瘍と称します。そのうち悪性のものとしては副腎癌、傍神経節悪性腫瘍、脂肪肉腫、転移性腫瘍などがあり、外科的切除の対象となることがあります。
当科では後腹膜腫瘍に対しても手術を行っており、過去10年間に87例の後腹膜腫瘍の切除手術を行っております。
腫瘍の内訳は、褐色細胞腫や傍神経節腫瘍、副腎癌、脂肪肉腫などです。臓器移植手術でつちかった技術を応用して腸管や腎臓、血管、筋肉など多臓器の合併切除・再建が必要な腫瘍の切除を行っています。
状況によっては血管外科、泌尿器科、整形外科、形成外科など各診療科と連携して手術を行っています。
また、ホルモンを分泌する褐色細胞腫や傍神経節腫瘍に対しては内分泌内科、麻酔科と連携してホルモン分泌の調整を行いながら切除をしています。

後腹膜腫瘍(左:脂肪肉腫、右:副腎腫瘍)

血管合併切除症例(左:腫瘍(右腎、下大静脈合併切除)、右:下大静脈再建後)
移植医療
当グループでは1965年より東北で初めて腎移植を開始し、これまでに177例の腎移植を行ってきております。また、1991年に全国3番目の施設として肝移植を行って以来、これまでに260例以上の肝移植を施行しています。
2006年からは1型糖尿病・糖尿病性腎不全の方に膵・腎同時移植を行うようになり、これまでに膵・腎同時移植を施行しています。
現在、国内で行われている移植の多くが生体移植ですが、2010年に改正臓器移植法が施行後、本邦における臓器提供数は増加の一途をたどっており、2022年には97件、2023年には131件の臓器提供が行われました。その変化に対応し、当科でも移植を必要とする方の脳死登録を積極的に進めており、以前は数年に1件程度の実施数でしたが、2022年は4件、2023年は10件の脳死移植を施行しています。
東北大学病院は、移植可能なすべての臓器(心臓、肺、肝臓、膵臓、小腸、腎臓)の脳死移植が可能な施設であり、当班は肝・膵・腎の腹部3臓器の移植診療を担うとともに小腸移植における脳死臓器摘出に参加しています。
2023年からは肝小腸同時移植および肝腎同時移植を実施できる体制を整え、2024年12月に本邦初となる肝・
肝移植
肝臓は腹部の右上にあり、大部分が下部肋骨によって守られています。成人の肝臓の重さは1.2~1.5㎏もあり、腹部臓器の中で最も重い臓器です。身体の恒常性を保つ(内部環境を一定に保ち、生命を維持する)ために、様々な物質の合成・代謝・解毒を行っており、「身体の工場」ともいわれていますが、これらの機能が損なわれる状態となっても、よほど病状が進行しないと症状が現れないため、「物言わぬ臓器」とも呼ばれています。非代償性肝硬変や肝不全とは、肝臓の重要な機能が損なわれ、内科的な治療を行っても回復の見込みがない状態です。このような状態になると、肝移植の適応になります。
下記に肝臓移植の適応となる主な疾患を挙げます。
| 肝臓移植適応疾患(成人) |
|
| 肝臓移植適応疾患(小児) |
|
肝移植には健康な近親者から肝臓の一部(1/5~2/3)を提供していただいて移植する生体移植と、脳死と判定されたドナー(臓器提供の意思をお持ちの方)から提供された肝臓を移植する脳死移植があります。
国内で行われている肝移植は生体肝移植が主流となっていましたが、改正臓器移植法の施行後は脳死移植の数が増えてきています。
当班ではこれまでに260例以上の肝移植を行い、脳死肝移植も36例行っています。下のグラフは当グループの肝移植の実施数とその内訳です。脳死肝移植の実施数は2021年以前は数年に1件程度でしたが、2022年は4件、2023年は10件と近年急速に実施数が増加しています。
特に2023年は全国で5番目の脳死肝移植実施数となりました。

また2024年1月より登録基準が緩和されています。肝臓の機能はChild分類という分け方で評価する場合が多いです。これまでは末期肝不全であるChild Cにならないと登録できませんでしたが、その一歩手前であるChild Bでも登録できるようになりました。
これまで基準を満たさないために登録できなかった方でも登録可能となっている場合があります。
次のグラフは脳死肝移植の登録数と年代別の生存率を示しています。実施数の増加と周術期治療の技術の進歩により、生存率はどんどん改善しています。
肝移植の適応を含めて診察を希望される場合は東北大学臓器移植医療部までご連絡ください。
腎移植
腎移植はeGFRという腎臓の機能の数値が15(小児では20)を下回った末期の腎不全状態の方が適応になります。腎移植には健康な近親者か片方の腎臓を提供していただいて移植する生体腎移植と、脳死ドナーもしくは心停止ドナーから提供された腎臓を移植する献腎移植があります。
当科では1965年より腎臓移植を開始し、献腎移植や再移植、膵腎同時移植を中心に腎移植を行ってきました。
2018年から生体腎移植プログラムを再開し、当院での腎移植をご希望される方のご要望にお応えするための体制を整えており、生体腎移植、献腎移植(心停止、脳死)合わせて175例の腎移植を施行しております。
また、2022年より学童期以降の小児患者に対する腎移植も開始しております。脳死ドナーの増加に伴い成人の脳死登録も積極的に進めていますが、20歳未満の腎不全患者においては小児優先ルールにより比較的早期に献腎移植を実施できることも多いため、生体腎移植だけでなく特に積極的に脳死登録を進めています。
現在2名の登録を完了し、うち1名に対し待期期間1年2か月(成人の平均待期期間は約15年)で脳死腎移植を実施し良好な腎機能を維持しております。ドナー腎摘出手術は、健常者であるドナーの方への安全性と低侵襲性を重視し、腹腔鏡を用いた方法で行っております。
腎移植の適応を含めて診察を希望される場合は東北大学臓器移植医療部までご連絡ください。
膵移植、膵・腎同時移植、膵島移植
膵移植は自己のインスリン分泌が枯渇している1型糖尿病(インスリン依存型糖尿病)、もしくは膵全摘後の方が適応になります。膵臓を移植することによりインスリン分泌を再開させて糖代謝をさせることで高血糖、低血糖がなくなり、血糖コントロールが安定するだけでなく、各種糖尿病性合併症を改善もしくはその進行を阻止することが期待できます。
移植を行うことによってクオリティ・オブ・ライフ(生活の質)が改善されます。糖尿病性腎症による慢性腎不全を合併している方がほとんどであり、このような場合、膵臓と腎臓の同時移植(膵腎同時移植)を行うことで移植後の生命予後が改善されます。
当院は、脳死膵移植施設であり、糖尿病性腎不全の方に対する膵・腎同時移植を行っております。これまで19例の膵・腎同時移植を施行しており、全国で6番目の手術件数です。
脳死登録を行った場合の平均待機期間は2~3年ですが、肝移植、腎移植と同様に脳死ドナーの増加に伴い、待期期間の短縮が見込まれます。
また、細胞移植治療である膵島移植が2020年に保険適応になっており、当グループでも実施体制を整えています。
膵移植、膵腎同時移植、膵島移植の適応を含めて診察を希望される場合は東北大学臓器移植医療部までご連絡ください。
各種移植後は基本的に生涯にわたる免疫抑制薬の服用が必要となり、拒絶反応や感染症、糖尿病や高脂血症など様々な合併症が起こり得ます。
このため、長期にわたるフォローアップが必要となりますが、当施設では各専門診療科や専属の移植コーディネーターと緊密な連携をとることで、夜間・休日を含めたきめ細やかな対応ができる体制をとっております。
詳しくはこちらのページ(臓器移植医療部ホームページ )をご覧ください。
肝臓の腫瘍
当班では主に肝臓にできる悪性腫瘍に対する治療を行っております。これには肝臓自体から癌が発生する「原発性肝癌」と、他の臓器に発生した癌が転移してできる「転移性肝癌」があります。肝臓の悪性腫瘍に対する肝切除は年間40-50例、過去10年間で約300例以上の肝切除を行ってきました。
肝切除とは
肝切除は癌に冒された肝臓の部分を含めた領域を切除する方法です。肝臓の機能が比較的保たれている患者様に選択される治療法です。手術適応になるかどうかは腫瘍の状態に加え、肝予備能を予測して切除量を決定します。メリットとして局所の根治性が高いことがあげられます。手術方法としては①開腹肝切除と②腹腔鏡下肝切除、③ロボット支援下肝切除があります。
①開腹肝切除
開腹肝切除は大きな傷が必要になりますが、あらゆる処置を直視下に確実に行うことが可能であり、不意な出血にも対応しやすいために、複雑な肝切除や大きい腫瘍の切除の多くは開腹手術をおこなっております。当チームでは、肝移植の知識、技術を生かし、他施設で手術困難な脈管浸潤のある進行癌症例の手術も数多く行っています。
【大腸癌肝転移に対する中央二区域切除+尾状葉切除】


②腹腔鏡下肝切除
腹腔鏡下肝切除は小さな傷で腫瘍を切除することが可能であり、当班では2010年より導入しております。これまでに200例以上に施行していますが、創部痛の軽減のみならず、出血量の軽減、早期の回復がみられ、術後平均在院日数は6日と良好な結果が得られております。比較的シンプルな肝切除から、徐々に複雑な肝切除に適応をひろげており、現在では肝腫瘍の肝切除の70%以上を腹腔鏡で行っております。
またICG蛍光法を用いたナビゲーション手術を導入しており、腫瘍の同定、過不足のない切除範囲の決定に有用です。
【肝細胞癌に対する腹腔鏡下右肝切除とICG蛍光法】


③ロボット支援下肝切除
2022年に保険適応となった新しい肝切除の方法です。当グループでは同年よりダビンチ ・システム(Intuitive Surgical社製 Da Vinci Surgical System)を使用したロボット支援下肝切除を開始しています。現在20例程度のロボット支援下肝切除を施行しており、安全性に十分に留意をした上でより複雑な肝切除へと適応を拡大しています。当グループにおける肝切除の第一選択になりつつあります。
【肝内胆管癌に対するロボット支援下左肝切除】


いずれの手術方法ができるかは腫瘍の大きさや位置などの条件によって異なりますので、当グループの外来までご相談ください。
I.原発性肝癌
①どんな病気か?
原発性肝癌は、日本における罹患率は第4位、死亡率は第5位の癌であり、肝細胞に由来する肝細胞癌と、胆管上皮に由来する肝内胆管癌に分けられます。肝細胞癌は原発性肝癌の9割以上を占める癌であり、C型肝炎やB型肝炎などのウイルス性肝炎を背景として発癌する人が多数です。最近では、ウイルス性肝炎の治療が劇的に進歩したため、肝炎ウイルスとは関係のないアルコール性肝炎や非アルコール性脂肪性肝炎(NASH)を原因とする肝細胞癌が徐々に増えてきています。
②どんな治療法があるか?
肝細胞癌の治療には外科的な肝切除、肝臓の腫瘍に針をさして治療を行う経皮的局所療法(エタノール注入療法、ラジオ波焼灼療法)、カテーテルによる治療(肝動脈化学塞栓療法)、化学療法などがあります。その他に、放射線療法や肝移植*などが施行されることもあります。当班で主に扱う治療法には肝切除と肝移植があります。癌の状態や患者様の体調、肝機能により選択できる治療が異なり、適宜肝臓内科とカンファレンスで治療法を検討し、単独あるいは組み合わせて治療を行います。
*肝細胞癌における肝移植: 肝細胞癌でも、個数や大きさ、遠隔転移の有無により肝移植の適応となることがあります。詳しくは肝移植をご覧ください。
肝内胆管癌に対してはステージに応じて術式の検討を行っております。また根治性の向上のため術前および術後化学療法を導入しております。
治療方針は消化器内科との合同カンファレンスで決定しております。肉腫など稀少癌に対しては腫瘍内科とのカンファレンスで方針を決定した上で、肝切除を行っております。
II.転移性肝癌
肝臓には様々な癌が転移します。転移性肝癌に対しては、原発の病変の特性を十分に検討し、病変を取り除くことで患者さんへの治療効果が期待される場合に肝切除が選択されます。転移性肝癌の多くを占める大腸癌の肝転移の場合、化学療法や分子標的薬の進歩により、肝転移巣が切除可能となれば肝切除を行うことが推奨されております。
当初切除不能と診断されていても化学療法が奏功することで切除のチャンスが出てくる場合があります。また切除可能であっても再発の可能性を抑えるために、化学療法を組み合わせることがあります。
治療方針は大腸外科、腫瘍内科と合同でカンファレンスを月2回行い、最適な治療方針を個別に決定しております。
III.肝良性腫瘍
良性腫瘍は基本的には経過観察で済みますが、大きさ、場所により破裂の危険性があるとき、悪性腫瘍との区別が困難な場合に手術の適応となります。代表的なものとして、肝血管腫、肝腺腫がありますが、その他にも稀な疾患として、血管脂肪腫やリンパ管腫などの切除も行っています。
後腹膜の腫瘍
腹部臓器のうち胃や腸などは腹膜という膜に包まれて腹腔内に存在していますが、腹膜に包まれた領域の後ろ側のスペースを後腹膜腔と呼び、腎臓、尿管、膀胱、副腎、大動脈、大静脈などが存在しています。この後腹膜腔に発生した腫瘍を後腹膜腫瘍と称します。そのうち悪性のものとしては副腎癌、傍神経節悪性腫瘍、脂肪肉腫、転移性腫瘍などがあり、外科的切除の対象となることがあります。
当科では後腹膜腫瘍に対しても手術を行っており、過去10年間に87例の後腹膜腫瘍の切除手術を行っております。
腫瘍の内訳は、褐色細胞腫や傍神経節腫瘍、副腎癌、脂肪肉腫などです。臓器移植手術でつちかった技術を応用して腸管や腎臓、血管、筋肉など多臓器の合併切除・再建が必要な腫瘍の切除を行っています。
状況によっては血管外科、泌尿器科、整形外科、形成外科など各診療科と連携して手術を行っています。
また、ホルモンを分泌する褐色細胞腫や傍神経節腫瘍に対しては内分泌内科、麻酔科と連携してホルモン分泌の調整を行いながら切除をしています。

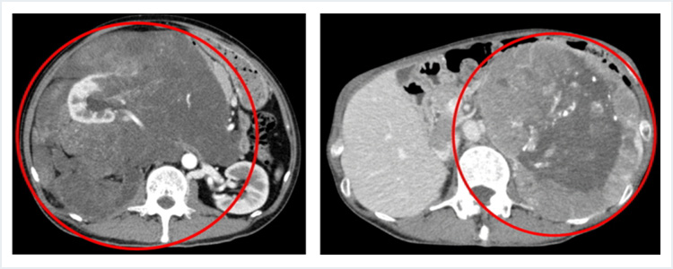
後腹膜腫瘍(左:脂肪肉腫、右:副腎腫瘍)

血管合併切除症例(左:腫瘍(右腎、下大静脈合併切除)、右:下大静脈再建後)

